PathoPic – image database / PathoPic ID 5201 - Glioblastoma multiforme (WHO IV)

de
Diagnose
Glioblastoma multiforme (WHO IV)
Diagnose Gruppe
maligner Tumor
Topographie
Hirn temporal
Topographie Gruppe
Nervensystem
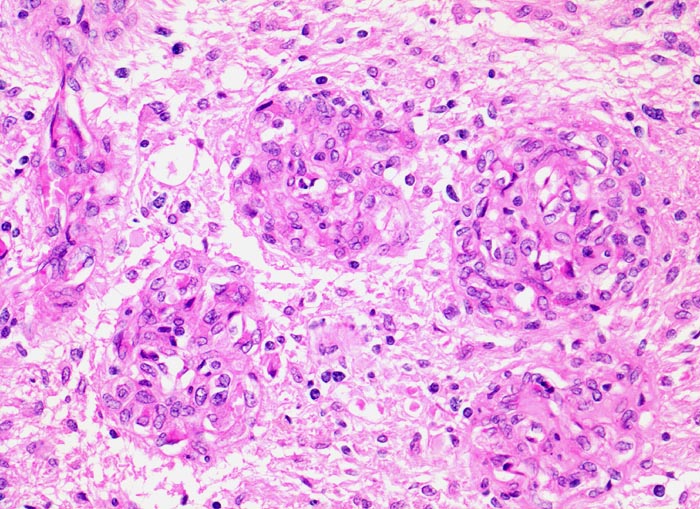
Beschreibung
Vier pathologische glomerulumartige zellreiche Gefässknäuel. Diese weisen eine Vermehrung von Endothelien, Perizyten und glatten Muskelzellen auf (im HE nicht unterscheidbar).
Klinik
Seit zwei Monaten zunehmende Persönlichkeitsveränderungen, Kopfschmerzen und progrediente fokal neurologische Zeichen.
Bilder Typ
Histologie
Vergrösserung
200
Alter
52
Geschlecht
unbekannt
Datum
Ersteintrag: 23.07.2002