Pathopic
HiPaKu
ZyPaKu
PathoBasic
PathoBasic Cytology
Quizzes
Projektinfos
PathoPic - Projekt- und Copyright-Info
About
Pathopic
HiPaKu
ZyPaKu
PathoBasic
PathoBasic Cytology
Quizzes
PathoPic – image database
/
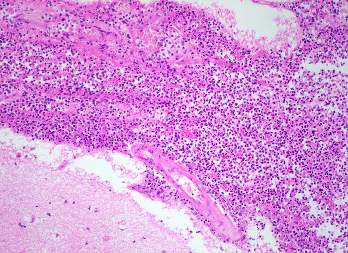
PathoPic ID 5189 - Eitrige Leptomeningitis
de
Diagnose
Eitrige Leptomeningitis
Diagnose Gruppe
Entzündung infektiös
Topographie
Meningen
Topographie Gruppe
Nervensystem
Beschreibung
Der Subarachnoidalraum ist erweitert und angefüllt mit massenhaft neutrophilen Granulozyten (=Eiter).
Hirnrinde.
Zusatzbefund
Bronchopneumonie. Nachweis von Pneumokokken im Abstrich von der Hirnoberfläche und von der Lunge.
Klinik
Kopfschmerzen seit 3 Tagen mit zunehmender Bewusstseinseintrübung, Fieber. Diabetes mellitus. Patientin stirbt kurz nach Spitaleintritt.
Bilder Typ
Histologie
Vergrösserung
100
Alter
66
Geschlecht
unbekannt
Datum
Ersteintrag: 23.07.2002
Update: 16.03.2003
CPS
·
©
2024 Institut für Pathologie Basel
/
Dr. med. Katharina Glatz-Krieger
.
·
v2.1