PathoPic – image database / PathoPic ID 5187 - Duktales carcinoma in situ mit Komedonekrosen, non high grade

de
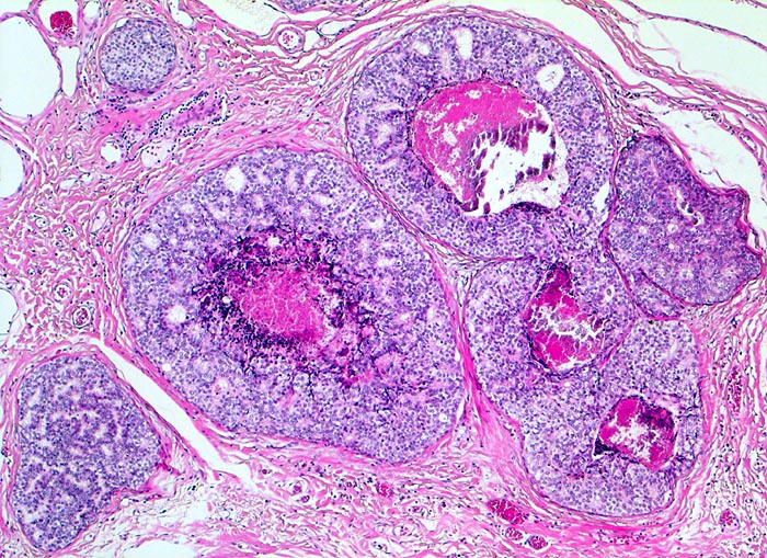
Diagnose
Duktales carcinoma in situ mit Komedonekrosen, non high grade
Diagnose Gruppe
Präneoplasie/ Atypie/ Dignität?
Topographie
Mamma
Topographie Gruppe
Mamma
Beschreibung
Kribriformes duktales in situ Karzinom mit zentralen, teils verkalkten Komedonekrosen, zytologisch non high grade (deshalb kein Komedokarzinom). Das Tumorgewebe wächst rein intraduktal und ist von einer Basalmembran umgeben.
Zusatzbefund
Invasiv duktales Mammakarzinom
Bilder Typ
Histologie
Vergrösserung
50
Alter
52
Geschlecht
unbekannt
Datum
Ersteintrag: 23.07.2002
Update: 24.02.2005