PathoPic – image database / PathoPic ID 5185 - Duktales carcinoma in situ mit Komedonekrosen, non high grade

de
Diagnose
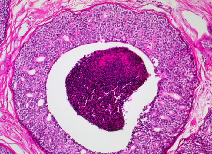
Duktales carcinoma in situ mit Komedonekrosen, non high grade
Diagnose Gruppe
Präneoplasie/ Atypie/ Dignität?
Topographie
Mamma
Topographie Gruppe
Mamma
Beschreibung
Kribriformes duktales in situ Karzinom mit zentraler Komedonekrose, zytologisch non high grade
Zusatzbefund
Invasiv duktales Mammakarzinom
Bilder Typ
Histologie
Vergrösserung
100
Alter
52
Geschlecht
unbekannt
Datum
Ersteintrag: 23.07.2002
Update: 24.02.2005