Pathopic
HiPaKu
ZyPaKu
PathoBasic
PathoBasic Cytology
Quizzes
Projektinfos
PathoPic - Projekt- und Copyright-Info
About
Pathopic
HiPaKu
ZyPaKu
PathoBasic
PathoBasic Cytology
Quizzes
PathoPic – image database
/
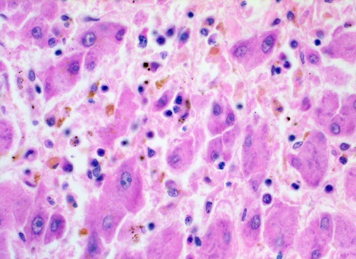
PathoPic ID 5138 - akute Hepatitis
de
Diagnose
akute Hepatitis
Diagnose Gruppe
Entzündung infektiös
Topographie
Leber
Topographie Gruppe
Leber, Gallenwege, Pankreas
Beschreibung
Intralobuläres Infiltrat aus Lymphozyten,
Plasmazellen,
Histiozyten und
siderinbeladene Makrophagen.
Klinik
Autopsiepräparat eines 37jährigen Patienten mit Transaminasenanstieg und Hyperbilirubinämie. St.n. Bluttransfusionen
Bilder Typ
Histologie
Vergrösserung
400
Alter
37
Geschlecht
männlich
Datum
Ersteintrag: 21.10.2002
CPS
·
©
2024 Institut für Pathologie Basel
/
Dr. med. Katharina Glatz-Krieger
.
·
v2.1