PathoPic – image database / PathoPic ID 5114 - Chronische Helicobactergastritis

de
Diagnose
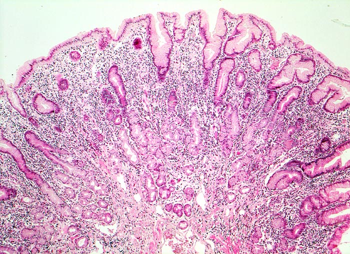
Chronische Helicobactergastritis
Diagnose Gruppe
Entzündung infektiös
Topographie
Magenantrum
Topographie Gruppe
Oesophagus, Magen
Beschreibung
Magenantrumschleimhaut mit dichtem oberflächenbetontem Entzündungsinfiltrat in der Lamina propria.
Klinik
Asylsuchender aus dem Balkan mit chronischen Oberbauchbeschwerden.
Bilder Typ
Histologie
Vergrösserung
50
Alter
32
Geschlecht
männlich
Datum
Ersteintrag: 06.07.2002