PathoPic – image database / PathoPic ID 5110 - Atherosklerose

de
Diagnose
Atherosklerose
Diagnose Gruppe
vaskulär / Durchblutungsstörung
Topographie
Arteria poplitea
Topographie Gruppe
Kardiovaskuläres System
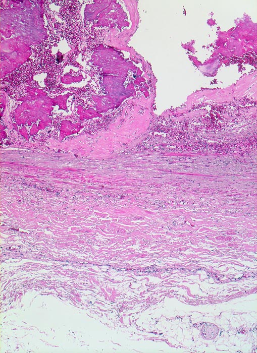
Beschreibung
Die sklerosierte Intima enthält grobschollige bläuliche Verkalkungen mit frischen Einblutungen. Die Muskelschicht der Media ist atroph.
Klinik
Patient mit arterieller Hypertonie und 42 Pack Years Nikotinabusus. Klinisch PAVK IIa mit gelegentlichen leichten Schmerzen im rechten Bein nach längeren Gehstrecken.
Bilder Typ
Histologie
Vergrösserung
50
Alter
79
Geschlecht
männlich
Datum
Ersteintrag: 06.07.2002