Pathopic
HiPaKu
ZyPaKu
PathoBasic
PathoBasic Cytology
Quizzes
Projektinfos
PathoPic - Projekt- und Copyright-Info
About
Pathopic
HiPaKu
ZyPaKu
PathoBasic
PathoBasic Cytology
Quizzes
PathoPic – image database
/
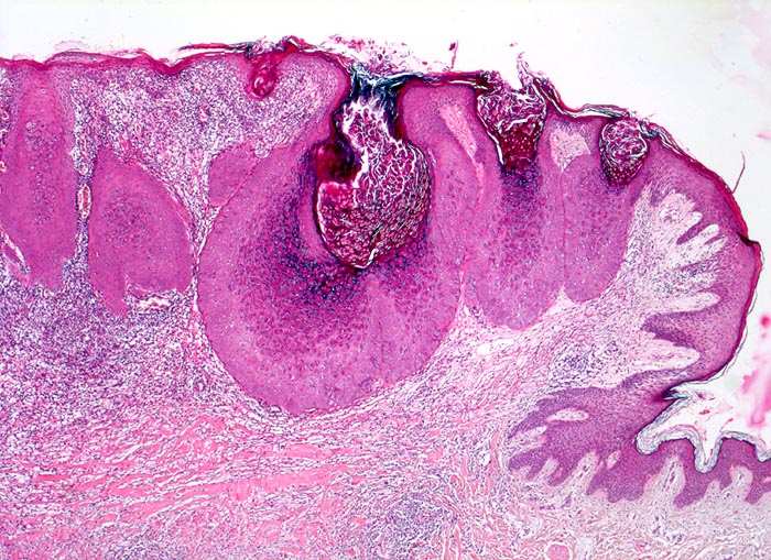
PathoPic ID 5105 - Molluscum contagiosum
de
Diagnose
Molluscum contagiosum
Diagnose Gruppe
Präneoplasie/ Atypie/ Dignität?
Topographie
Haut, Anus
Topographie Gruppe
Haut
Beschreibung
Die virusbefallene Epidermis ist
hyperplastisch und bildet kraterförmige Einziehungen.
Chronisches Entzündungsinfiltrat in der oberflächlichen Dermis.
Klinik
Perianal kleine linear angeordnete Hautpapeln.
Bilder Typ
Histologie
Vergrösserung
25
Alter
5
Geschlecht
männlich
Datum
Ersteintrag: 08.07.2002
CPS
·
©
2024 Institut für Pathologie Basel
/
Dr. med. Katharina Glatz-Krieger
.
·
v2.1