Pathopic
HiPaKu
ZyPaKu
PathoBasic
PathoBasic Cytology
Quizzes
Projektinfos
PathoPic - Projekt- und Copyright-Info
About
Pathopic
HiPaKu
ZyPaKu
PathoBasic
PathoBasic Cytology
Quizzes
PathoPic – image database
/
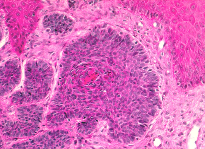
PathoPic ID 5102 - Basaliom
de
Diagnose
Basaliom
Diagnose Gruppe
maligner Tumor
Topographie
Haut, Kopf
Topographie Gruppe
Haut
Beschreibung
Ein Teil der Tumorzellplatten zeigt im Zentrum eine angedeutete
Verhornung. Die zytoplasmaarmen Tumorzellen sehen sehr ähnlich aus wie die
Basalzellen der Epidermis.
Klinik
Derber weisser, leicht erhabener Knoten an der Nase.
Bilder Typ
Histologie
Vergrösserung
200
Alter
83
Geschlecht
unbekannt
Datum
Ersteintrag: 08.07.2002
CPS
·
©
2024 Institut für Pathologie Basel
/
Dr. med. Katharina Glatz-Krieger
.
·
v2.1