PathoPic – image database / PathoPic ID 5101 - Basaliom

de
Diagnose
Basaliom
Diagnose Gruppe
maligner Tumor
Topographie
Haut, Kopf
Topographie Gruppe
Haut
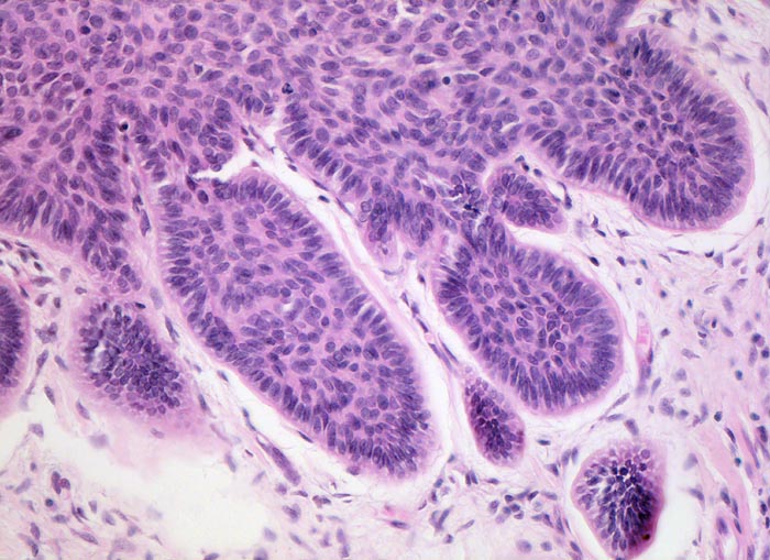
Beschreibung
Die Zellen am Rand der soliden Zellplatten zeigen eine deutliche Palisadierung. Die übrigen Tumorzellen liegen ungeordnet durcheinander. Zwischen den Zellplatten und dem Stroma findet sich ein typischer Retraktionsartefakt.
Klinik
Derber weisser, leicht erhabener Knoten an der Nase.
Bilder Typ
Histologie
Vergrösserung
200
Alter
83
Geschlecht
unbekannt
Datum
Ersteintrag: 08.07.2002