PathoPic – image database / PathoPic ID 5100 - Basaliom

de
Diagnose
Basaliom
Diagnose Gruppe
maligner Tumor
Topographie
Haut, Kopf
Topographie Gruppe
Haut
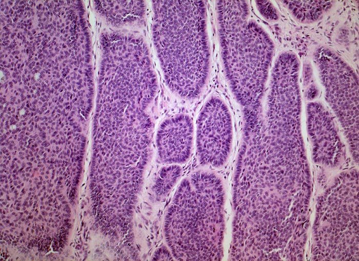
Beschreibung
Der Tumor besteht aus soliden Platten aus basaloiden Zellen. Die Zellen am Rand der soliden Zellplatten sind parallel und senkrecht zur Basalmembran ausgerichtet ( Palisadierung). Zwischen den Zellplatten und dem Stroma findet sich stellenweise ein typischer Retraktionsartefakt.
Klinik
Derber weisser, leicht erhabener Knoten an der Nase.
Bilder Typ
Histologie
Vergrösserung
100
Alter
83
Geschlecht
unbekannt
Datum
Ersteintrag: 08.07.2002