PathoPic – image database / PathoPic ID 5098 - Mucoviszidose

de
Diagnose
Mucoviszidose
Diagnose Gruppe
angeboren /genetisch/Missbildung
Topographie
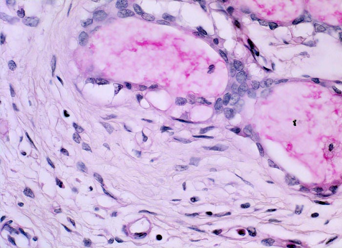
Pankreas
Topographie Gruppe
Leber, Gallenwege, Pankreas
Beschreibung
Gänge gefüllt mit PAS positivem Schleim. Lockere Fibrose des Interstitiums mit spärlichem chronischem Entzündungsinfiltrat.
Klinik
Der Patient verstarb an einer Pneumonie. Es bestand eine Insuffizienz des exokrinen Pankreas mit Malabsorption.
Bilder Typ
Histologie
Vergrösserung
400
Alter
16
Geschlecht
männlich
Datum
Ersteintrag: 06.07.2002