PathoPic – image database / PathoPic ID 5095 - Mucoviszidose

de
Diagnose
Mucoviszidose
Diagnose Gruppe
angeboren /genetisch/Missbildung
Topographie
Pankreas
Topographie Gruppe
Leber, Gallenwege, Pankreas
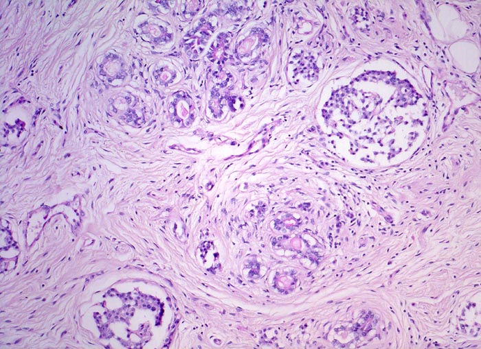
Beschreibung
Atrophes exokrines Pankreas mit erhaltener lobulärer Architektur und ausgeprägter lockerer Fibrose innerhalb der Läppchen und im Interstitium. Spärliches chronisches Entzündungsinfiltrat. Gut erhaltenes endokrines Pankreas.
Klinik
Der Patient verstarb an einer Pneumonie. Es bestand eine Insuffizienz des exokrinen Pankreas mit Malabsorption.
Bilder Typ
Histologie
Vergrösserung
100
Alter
16
Geschlecht
männlich
Datum
Ersteintrag: 06.07.2002