Pathopic
HiPaKu
ZyPaKu
PathoBasic
PathoBasic Cytology
Quizzes
Projektinfos
PathoPic - Projekt- und Copyright-Info
About
Pathopic
HiPaKu
ZyPaKu
PathoBasic
PathoBasic Cytology
Quizzes
PathoPic – image database
/
PathoPic ID 5084 - Morbus Crohn
de
Diagnose
Morbus Crohn
Diagnose Gruppe
Entzündung / Reparatur
Topographie
Ileum terminal
Topographie Gruppe
Darm, Anus
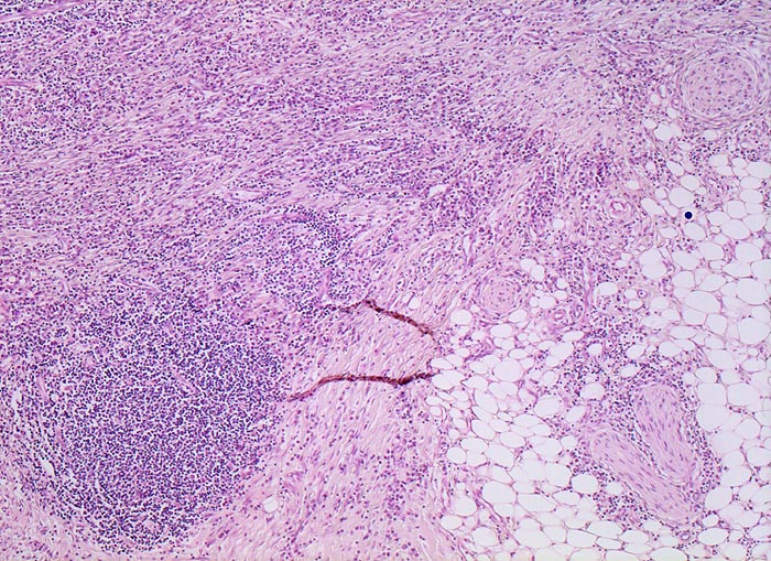
Beschreibung
Fibrose und Entzündung des mesenterialen Fettgewebes mit
Lymphfollikelbildung. Auffallende Vermehrung kleiner
Nervenäste.
Klinik
Bekannter Morbus Crohn. Resektion des terminalen Ileum wegen mechanischem Subileus und enterokutaner Fistelbildung.
Kommentar
Die Vermehrung von Nerven ist typisch bei Morbus Crohn.
Bilder Typ
Histologie
Vergrösserung
50
Alter
27
Geschlecht
männlich
Datum
Ersteintrag: 06.07.2002
CPS
·
©
2024 Institut für Pathologie Basel
/
Dr. med. Katharina Glatz-Krieger
.
·
v2.1