PathoPic – image database / PathoPic ID 5081 - Colitis ulcerosa

de
Diagnose
Colitis ulcerosa
Diagnose Gruppe
Entzündung / Reparatur
Topographie
Kolon links
Topographie Gruppe
Darm, Anus
Beschreibung
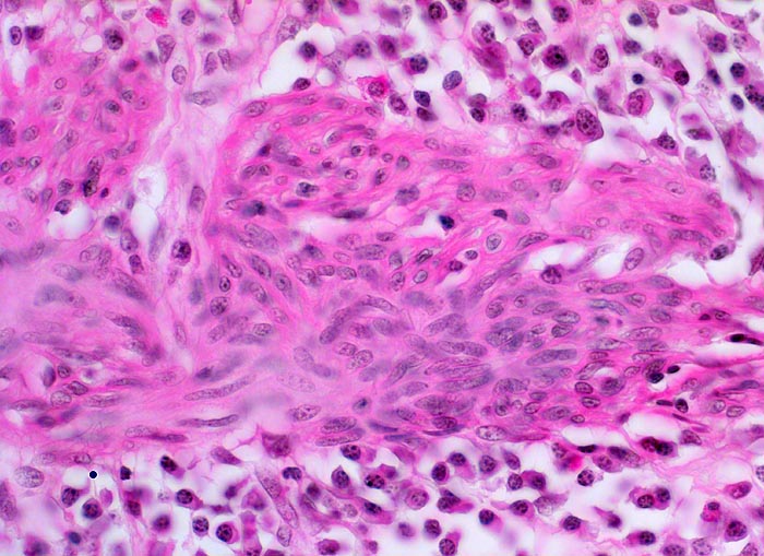
In der Bildmitte ist die glatte Muskulatur der Lamina muscularis mucosae erkennbar. Zu beiden Seiten der Muskulatur finden sich dichte Infiltrate von Plasmazellen, vereinzelte eosinophile Granulozyten und Lymphozyten.
Klinik
Kolektomie wegen chronischer therapierefraktärer Kolitis.
Kommentar
Das normale Entzündungsinfiltrat der Lamina propria enthält eine Mischung von Lymphozyten, Plasmazellen und eosinophilen Granulozyten. Der Nachweis von neutrophilen Granulozyten ist pathologisch und spricht für eine aktive Entzündung. Normalerweise ist das Entzündungsinfiltrat lumenwärts verdichtet. Bei entzündlichen Darmerkrankungen besteht ein diffuses dichtes Infiltrat, das auffallend reich ist an Plasmazellen und oft auch eosinophilen Granulozyten. Je nach Aktivitätsgrad der Entzündung sind unterschiedliche Mengen von neutrophilen Granulozyten beigemischt. Bei der Colitis ulcerosa ist die Entzündung meist auf die Mucosa beschränkt, kann in schweren Fällen (wie hier) aber auch auf die Submukosa übergreifen.
Bilder Typ
Histologie
Vergrösserung
400
Alter
34
Geschlecht
männlich
Datum
Ersteintrag: 06.07.2002