PathoPic – image database / PathoPic ID 5079 - Colitis ulcerosa: Kryptenabszess

de
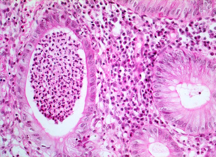
Diagnose
Colitis ulcerosa: Kryptenabszess
Diagnose Gruppe
Entzündung / Reparatur
Topographie
Kolon links
Topographie Gruppe
Darm, Anus
Beschreibung
Verdichtetes Entzündungsinfiltrat in der Lamina propria bestehend aus zahlreichen Plasmazellen und neutrophilen Granulozyten, sowie einzelnen eosinophilen Granulozyten. Dilatierte Krypte gefüllt mit neutrophilen Granulozyten (=Kryptenabszess). Praktisch vollständiger Verlust von schleimbildenden Becherzellen.
Klinik
Kolektomie wegen chronischer therapierefraktärer Kolitis.
Bilder Typ
Histologie
Vergrösserung
200
Alter
34
Geschlecht
männlich
Datum
Ersteintrag: 06.07.2002