PathoPic – image database / PathoPic ID 5034 - Aneurysmatische Knochenzyste

de
Diagnose
Aneurysmatische Knochenzyste
Diagnose Gruppe
benigner Tumor
Topographie
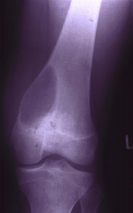
Knochen, Femur
Topographie Gruppe
Knochen, Knorpel, Gelenke
Beschreibung
Radiologisch erkennt man in der distalen linken Femurmetaphyse medial eine exzentrisch gelegene Osteolysezone, die mediodorsal zu einer schalenartigen Ausbeulung des Knochens mit Bildung einer Neokortikalis geführt hat. Besonders nach dorsal ist die Neokortikalis sehr dünn.
Zusatzbefund
Mikroskopisch sieht man Knochengewebe, bestehend aus spongiösem Knochen, Fettmark und Einblutungen sowie Anteilen einer bindegewebigen Membran, die von einer abgeflachten Deckzellschicht ausgekleidet wird. Darin sieht man immer wieder kleine osteoklastäre Riesenzellen, Einblutungen und spärliche entzündliche Infiltrate. Atypien finden sich nicht.
Bilder Typ
Radiologie
Alter
14
Geschlecht
unbekannt
Datum
Ersteintrag: 05.07.2002