PathoPic – image database / PathoPic ID 5029 - verhornendes Plattenepithelkarzinom des Ösophagus

de
Diagnose
verhornendes Plattenepithelkarzinom des Ösophagus
Diagnose Gruppe
maligner Tumor
Topographie
Oesophagus, distal
Topographie Gruppe
Oesophagus, Magen
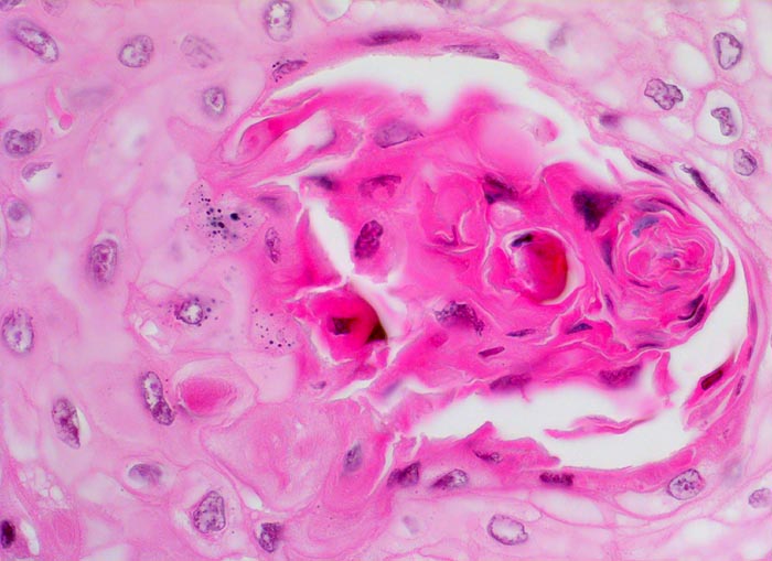
Beschreibung
Hoch differenzierter Tumoranteil. Hier kommt die plattenepitheliale Differenzierung gut zum Ausdruck. Die deutlichen Zellgrenzen und das reichlich vorhandene glasige eosinophile Zytoplasma sind typisch für Plattenepithel. Konzentrisch angeordnete Tumorzellen mit hypereosinophilem Zytoplasma und pyknotischen Kernen bilden eine Hornperle. Einzelne Zellen im Randbereich der Hornperle enthalten Keratohyalingranula.
Klinik
Jahrelanger Nikotin- und Ethylabusus. Vor 6 Monaten ergab die Abklärung wegen progredienter Dysphagie ein inoperables stenosierendes Karzinom im distalen Ösophagus. Der Patient verstirbt am Tumorleiden.
Bilder Typ
Histologie
Vergrösserung
400
Alter
60
Geschlecht
männlich
Datum
Ersteintrag: 13.06.2002