PathoPic – image database / PathoPic ID 5025 - Carcinoma in situ der Ösophagusschleimhaut

de
Diagnose
Carcinoma in situ der Ösophagusschleimhaut
Diagnose Gruppe
maligner Tumor
Topographie
Oesophagus, distal
Topographie Gruppe
Oesophagus, Magen
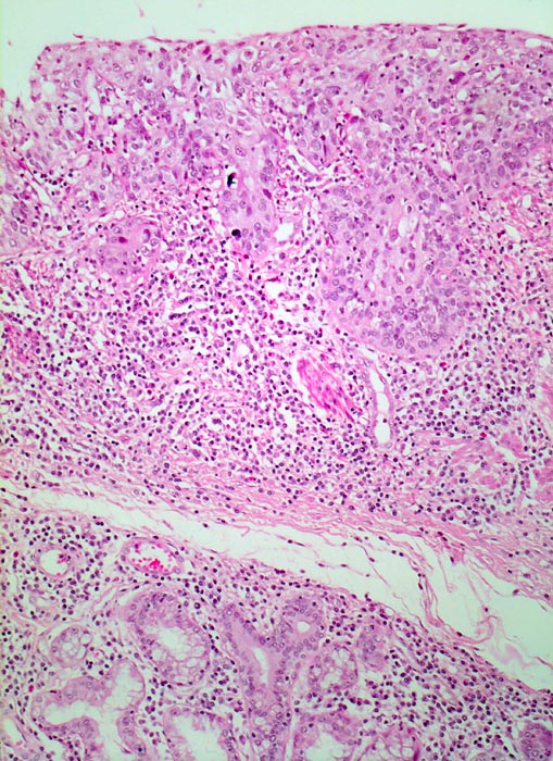
Beschreibung
Mukosa aus dem Randbereich des Karzinoms mit schwerer Dysplasie des Plattenepithels (Carcinoma in situ). Die Zellen sind unregelmässig angeordnet und zeigen anstelle der normalen Ausreifung auf der ganzen Epithelbreite deutlich vergrösserte hyperchromatische Kerne. Das Epithel bildet unregelmässige Zapfen, die in das Stroma vordringen. Die Basalmembran scheint in diesem Bildausschnitt jedoch erhalten. Die Submukosa enthält ein dichtes gemischtes Entzündungsinfiltrat. Am unteren Bildrand sind submuköse Schleimdrüsen erkennbar.
Klinik
Jahrelanger Nikotin- und Ethylabusus. Vor 6 Monaten ergab die Abklärung wegen progredienter Dysphagie ein inoperables stenosierendes Karzinom im distalen Ösophagus. Der Patient verstirbt am Tumorleiden.
Bilder Typ
Histologie
Vergrösserung
100
Alter
60
Geschlecht
männlich
Datum
Ersteintrag: 13.06.2002