PathoPic – image database / PathoPic ID 5022 - Adenom mit leichter Epitheldysplasie

de
Diagnose
Adenom mit leichter Epitheldysplasie
Diagnose Gruppe
Präneoplasie/ Atypie/ Dignität?
Topographie
Kolon descendens
Topographie Gruppe
Darm, Anus
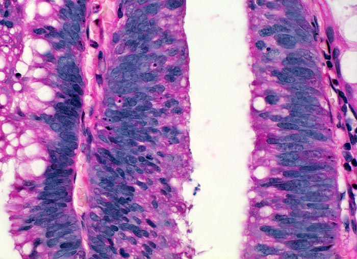
Beschreibung
Die Epithelkerne stehen sehr dicht und überlagern einander. Die Kern-Zytoplasma Relation ist zu Gunsten des leicht abgerundeten hyperchromatischen Kerns verschoben. Die Kerne sind nicht ausschliesslich basalständig, sondern wandern richtung Lumen. Die Schleimproduktion ist deutlich vermindert. Anstelle von Becherzellen finden sich lediglich kleinere intrazytoplasmatische Schleimvakuolen. Kerntrümmer von apoptotischen Zellen zeugen von einem erhöhten Zellumsatz.
Klinik
Koloskopie wegen positivem Haemocculttest. Ein 5mm grosser gestielter Polyp im Colon descendens wird abgetragen.
Kommentar
Innerhalb eines Adenoms kann die Epitheldysplasie an verschiedenen Stellen unterschiedlich schwer ausgeprägt sein. Entscheidend für die Einteilung ist der höchste Dysplasiegrad innerhalb eines Adenoms. Aus diesem Grund und zum Ausschluss von invasiven Anteilen werden Kolonschleimhautadenome vollständig eingebettet und histologisch untersucht.
Bilder Typ
Histologie
Vergrösserung
400
Alter
65
Geschlecht
männlich
Datum
Ersteintrag: 13.06.2002