PathoPic – image database / PathoPic ID 5021 - Adenom mit leichter Epitheldysplasie

de
Diagnose
Adenom mit leichter Epitheldysplasie
Diagnose Gruppe
Präneoplasie/ Atypie/ Dignität?
Topographie
Kolon descendens
Topographie Gruppe
Darm, Anus
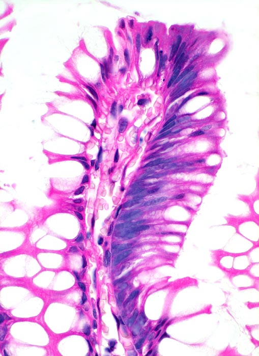
Beschreibung
In diesem Drüsenschlauch ist nur die rechte Hälfte des bedeckenden Epithels dysplastisch verändert. Im dysplastischen Epithel stehen die Kerne deutlich dichter und überlappen sich teilweise. Die Kerne sind leicht vergrössert, haben eine irreguläre Kontur und sind nicht ausschliesslich basal, sondern auch lumenwärts lokalisiert. Die dysplastischen Becherzellen enthalten deutlich kleinere Schleimvakuolen.
Klinik
Koloskopie wegen positivem Haemocculttest. Ein 5mm grosser gestielter Polyp im Colon descendens wird abgetragen.
Bilder Typ
Histologie
Vergrösserung
400
Alter
65
Geschlecht
männlich
Datum
Ersteintrag: 13.06.2002