PathoPic – image database / PathoPic ID 5017 - myoglanduläre Prostatahyperplasie mit Stauungsprostatitis

de
Diagnose
myoglanduläre Prostatahyperplasie mit Stauungsprostatitis
Diagnose Gruppe
Hyperplasie / Hypertrophie
Topographie
Prostata
Topographie Gruppe
Genitalorgane, männlich
Beschreibung
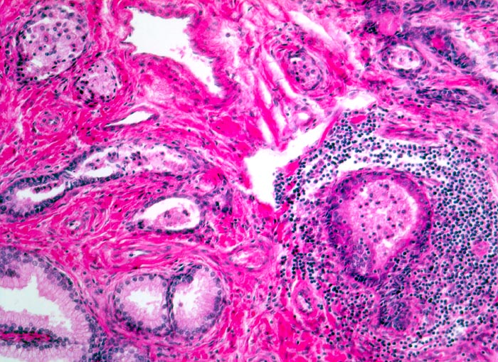
Innerhalb der hyperplastischen Knoten enthalten einzelne Drüsenlumina reichlich $o{as39281Makrophagen} Makrophagen. Das Epithel der betroffenen Drüsen ist teilweise abgeflacht oder zerstört. Zusätzlich hat sich fokal ein lymphozytäres periglanduläres Entzündungsinfiltrat ausgebildet.
Zusatzbefund
Autoptischer Befund: Prostata deutlich vergrössert (7cm Durchmesser) und knotig. Die weissen Knoten zeigen eine feinzystische Schnittfläche (makroskopisch erkennbare dilatierte Drüsenlumina). Einzelne Zystchen enthalten schwarze Steinchen (Verkalktes Sekret). Balkenharnblase.
Klinik
Seit mehreren Jahren zunehmende Miktionsbeschwerden mit wiederholtem Harnverhalt.
Kommentar
30-40% des histologisch untersuchten hyperplastischen Prostatagewebes zeigt eine mittelgradige bis schwere Begleitprostatitis mit Drüsendestruktion. Diese entzündlichen Infiltrate sind als entzündliche Begleitreaktion aufzufassen und reichen nicht für die Diagnose einer klassischen Prostatitis aus.
Bilder Typ
Histologie
Vergrösserung
100
Alter
81
Geschlecht
männlich
Datum
Ersteintrag: 13.06.2002
Update: 30.07.2010