PathoPic – image database / PathoPic ID 5016 - myoglanduläre Prostatahyperplasie

de
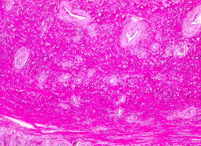
Diagnose
myoglanduläre Prostatahyperplasie
Diagnose Gruppe
Hyperplasie / Hypertrophie
Topographie
Prostata
Topographie Gruppe
Genitalorgane, männlich
Beschreibung
Reiner fibroleiomyomatöser gut vaskularisierter hyperplastischer Knoten.
Zusatzbefund
Autoptischer Befund: Prostata deutlich vergrössert (7cm Durchmesser) und knotig. Die weissen Knoten zeigen eine feinzystische Schnittfläche (makroskopisch erkennbare dilatierte Drüsenlumina). Einzelne Zystchen enthalten schwarze Steinchen (Verkalktes Sekret). Balkenharnblase.
Klinik
Seit mehreren Jahren zunehmende Miktionsbeschwerden mit wiederholtem Harnverhalt.
Kommentar
Bei voll ausgebildeter Hyperplasie überwiegt der stromale Anteil den Drüsenparenchymanteil.
Bilder Typ
Histologie
Vergrösserung
100
Alter
81
Geschlecht
männlich
Datum
Ersteintrag: 13.06.2002
Update: 30.07.2010