PathoPic – image database / PathoPic ID 5007 - extrakapilläre Glomerulonephritis bei Morbus Wegener

de
Diagnose
extrakapilläre Glomerulonephritis bei Morbus Wegener
Diagnose Gruppe
Systemerkrankung/Immunpathologie
Topographie
Niere
Topographie Gruppe
Niere, Harnwege
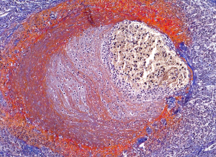
Beschreibung
Praktisch zirkuläre fibrinoide Nekrose einer Interlobulararterie umgeben von einem manschettenförmigen Entzündungsinfiltrat.
Klinik
Rapid progressive Glomerulonephritis mit Entwicklung einer Oligurie innert weniger Tage. Fieber und Nachtschweiss. Chronische Sinusitis. cANCA erhöht.
Kommentar
Die Einbeziehung von Endstrecken der afferenten Arteriolen in die glomeruläre Nekrose ist häufig. Eine Vaskulitis der vorgeschalteten Gefässabschnitte wie in diesem Fall ist ungewöhnlich und passt eher zu einer Polyarteritis nodosa Makroform. Bei dieser Erkrankung sind die Glomerula aber definitionsgemäss nicht betroffen.
Bilder Typ
Histologie
Vergrösserung
100
Alter
59
Geschlecht
männlich
Datum
Ersteintrag: 13.06.2002