PathoPic – image database / PathoPic ID 5005 - extrakapilläre Glomerulonephritis bei Morbus Wegener

de
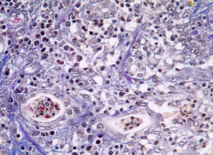
Diagnose
extrakapilläre Glomerulonephritis bei Morbus Wegener
Diagnose Gruppe
Systemerkrankung/Immunpathologie
Topographie
Niere
Topographie Gruppe
Niere, Harnwege
Beschreibung
Lymphohistiozytäre und teils granulozytäre Entzündung im tubulointerstitiellen Raum mit ödematöser Gewebsauflockerung. Die Tubuli sind ausgekleidet von abgeflachtem Epithel und enthalten Fibrin, Zelldetritus und Granulozyten.
Klinik
Rapid progressive Glomerulonephritis mit Entwicklung einer Oligurie innert weniger Tage. Fieber und Nachtschweiss. Chronische Sinusitis. cANCA erhöht.
Bilder Typ
Histologie
Vergrösserung
320
Alter
59
Geschlecht
männlich
Datum
Ersteintrag: 13.06.2002