PathoPic – image database / PathoPic ID 5004 - extrakapilläre Glomerulonephritis bei Morbus Wegener

de
Diagnose
extrakapilläre Glomerulonephritis bei Morbus Wegener
Diagnose Gruppe
Systemerkrankung/Immunpathologie
Topographie
Niere
Topographie Gruppe
Niere, Harnwege
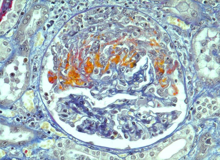
Beschreibung
Frische segmentale Schlingennekrosen mit exsudiertem Fibrin und Protein (rot). Beginnende Proliferation von Kapselzellen. Dazwischen einzelne neutrophile Granulozyten.
Klinik
Rapid progressive Glomerulonephritis mit Entwicklung einer Oligurie innert weniger Tage. Fieber und Nachtschweiss. Chronische Sinusitis. cANCA erhöht.
Kommentar
Halbmondbildung: Sichelförmige Proliferation von Kapselepithelien als Antwort auf eine lokale Fibrinexsudation aus geschädigten/nekrotischen Glomeruluskapillaren.
Bilder Typ
Histologie
Vergrösserung
320
Alter
59
Geschlecht
männlich
Datum
Ersteintrag: 13.06.2002