PathoPic – image database / PathoPic ID 5000 - extrakapilläre Glomerulonephritis bei Morbus Wegener

de
Diagnose
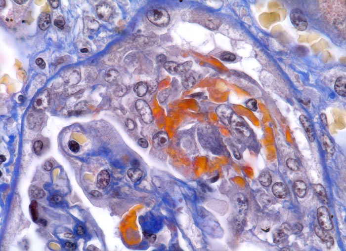
extrakapilläre Glomerulonephritis bei Morbus Wegener
Diagnose Gruppe
Systemerkrankung/Immunpathologie
Topographie
Niere
Topographie Gruppe
Niere, Harnwege
Beschreibung
Ausschnitt aus einem frischen segmentalen Halbmond (keine Matrixbildung). Zwischen den proliferierten Zellen des Halbmondes sind orangefarbene Fibrinexsudate erkennbar, die aus rupturierten Schlingen stammen.
Klinik
Rapid progressive Glomerulonephritis mit Entwicklung einer Oligurie innert weniger Tage. Fieber und Nachtschweiss. Chronische Sinusitis. cANCA erhöht.
Bilder Typ
Histologie
Vergrösserung
630
Alter
59
Geschlecht
männlich
Datum
Ersteintrag: 12.06.2002