PathoPic – image database / PathoPic ID 4996 - membrano-proliferative Glomerulonephritis Typ I

de
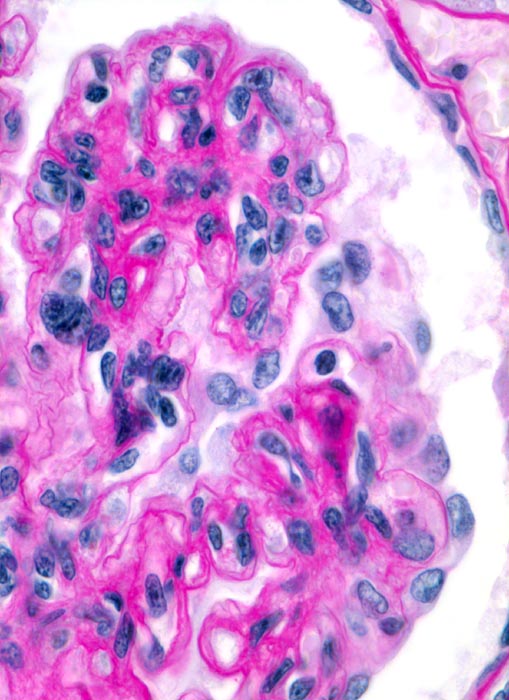
Diagnose
membrano-proliferative Glomerulonephritis Typ I
Diagnose Gruppe
Systemerkrankung/Immunpathologie
Topographie
Niere
Topographie Gruppe
Niere, Harnwege
Beschreibung
Verbreiterung des Mesangiums mit Zellvermehrung. Die Kapillarlumina sind teilweise eingeengt. Die periphere Basalmembran ist stellenweise verdoppelt. Der Basalmembran sitzen aussen Podozyten auf.
Klinik
Nephrotisches Syndrom, Mikrohämaturie und arterielle Hypertonie. Chronische Hepatitis C.
Bilder Typ
Histologie
Vergrösserung
630
Alter
24
Geschlecht
männlich
Datum
Ersteintrag: 15.06.2002