PathoPic – image database / PathoPic ID 4993 - membrano-proliferative Glomerulonephritis Typ I

de
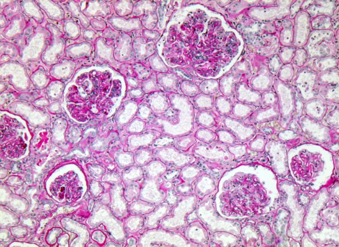
Diagnose
membrano-proliferative Glomerulonephritis Typ I
Diagnose Gruppe
Systemerkrankung/Immunpathologie
Topographie
Niere
Topographie Gruppe
Niere, Harnwege
Beschreibung
Die Glomeruli sind auffallend gross und kompakt. Die Kapillarschlingen erscheinen angedeutet lobuliert. Das Mesangium ist verbreitert und zellreicher als normal. Diskrepanz zwischen deutlich geschädigten Glomeruli und weitgehend unauffälligem tubulointerstitiellem Raum. Schon in der Übersicht wirken die Basalmembranen der Kapillarschlingen verdickt.
Klinik
Nephrotisches Syndrom, Mikrohämaturie und arterielle Hypertonie. Chronische Hepatitis C.
Bilder Typ
Histologie
Vergrösserung
100
Alter
24
Geschlecht
männlich
Datum
Ersteintrag: 12.06.2002