PathoPic – image database / PathoPic ID 4984 - Tubulovillöses Adenom mit leichter Epitheldysplasie

de
Diagnose
Tubulovillöses Adenom mit leichter Epitheldysplasie
Diagnose Gruppe
Präneoplasie/ Atypie/ Dignität?
Topographie
Kolon descendens
Topographie Gruppe
Darm, Anus
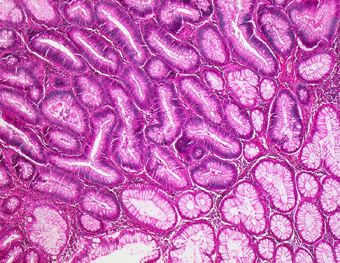
Beschreibung
Tubulärer Anteil des Adenoms. Im Bereich des Stielansatzes durchmischen sich normale Drüsen mit dysplastischen Drüsen. Die Kerne des Adenoms stehen etwas dichter und sind etwas grösser. Der Schleimgehalt im Zytoplasma ist leicht reduziert. Insgesamt sind die dysplastischen Veränderungen jedoch sehr gering ausgeprägt entsprechen einer leichten Epitheldysplasie (low grade).
Klinik
Koloskopie wegen positivem Haemocculttest. Ein 5mm grosser gestielter Polyp im Colon descendens wird abgetragen.
Kommentar
Der Dysplasiegrad von Kolonadenomen wird unterteilt in low grade Dysplasie (leichte und mittelschwere Dysplasie) und high grade Dysplasie (schwere Dysplasie). Vor allem Adenome mit high grade Dysplasie entwickeln sich weiter zu invasiven Karzinomen.
Bilder Typ
Histologie
Vergrösserung
50
Alter
65
Geschlecht
männlich
Datum
Ersteintrag: 12.06.2002
Update: 29.04.2011