PathoPic – image database / PathoPic ID 4963 - chronische Hepatitis C mit geringgradiger Aktivität und Fibrose

de
Diagnose
chronische Hepatitis C mit geringgradiger Aktivität und Fibrose
Diagnose Gruppe
Entzündung infektiös
Topographie
Leber
Topographie Gruppe
Leber, Gallenwege, Pankreas
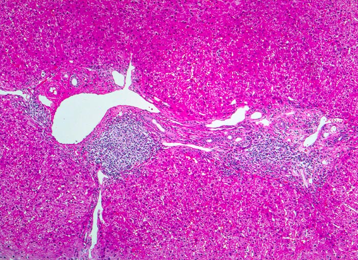
Beschreibung
Dichtes lymphoides Infiltrat in den Portalfeldern mit Ausbildung eines Follikels. Stellenweise greift die Entzündung auf das angrenzende Parenchym über ( periportale Hepatitis). Zwischen den fibrosierten Portalfeldern verlaufen bindegewebige Septen.
Klinik
Intravenöser Drogenabusus vor 10 Jahren. Damals Infektion mit dem Hepatitis C Virus.
Kommentar
Die Ausbildung von Lymphozytenaggregaten in Form von Follikeln in den Portalfeldern ist typisch aber nicht pathognomonisch für die chronische Hepatitis C.
Bilder Typ
Histologie
Vergrösserung
50
Alter
36
Geschlecht
männlich
Datum
Ersteintrag: 12.06.2002