PathoPic – image database / PathoPic ID 4950 - hochfloride chronische sklerosierende alkoholische Steatohepatitis

de
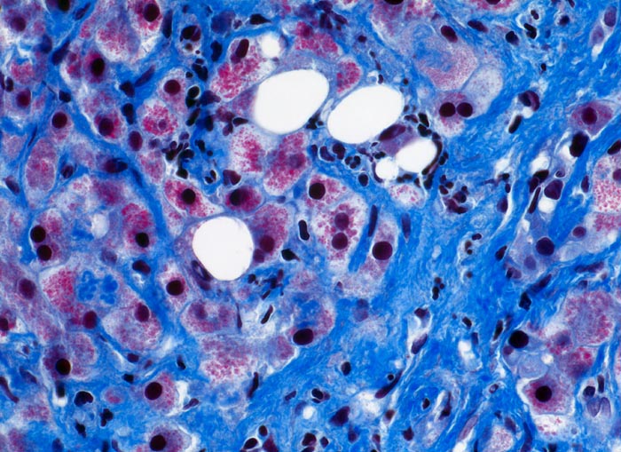
Diagnose
hochfloride chronische sklerosierende alkoholische Steatohepatitis
Diagnose Gruppe
Therapiefolgen
Topographie
Leber
Topographie Gruppe
Leber, Gallenwege, Pankreas
Beschreibung
Ausgeprägte perizelluläre Fibrose. Einzelne grobtropfig verfettete Hepatozyten. Gemischtes Entzündungsinfiltrat mit Beteiligung zahlreicher neutrophiler Granulozyten. Die Hepatozyten enthalten zahlreiche rote kugelige Einschlüsse (=Megamitochondrien), ein Teil enthält Mallory Körperchen.
Klinik
Alkoholabusus
Bilder Typ
Histologie
Vergrösserung
400
Alter
49
Geschlecht
männlich
Datum
Ersteintrag: 12.06.2002