PathoPic – image database / PathoPic ID 4891 - hellzelliges Nierenzellkarzinom: Stromaverkalkungen und Einblutungen

de
Diagnose
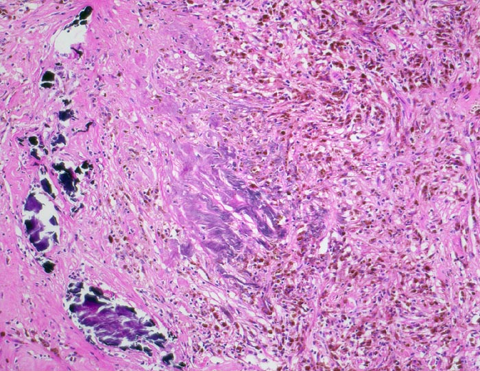
hellzelliges Nierenzellkarzinom: Stromaverkalkungen und Einblutungen
Diagnose Gruppe
maligner Tumor
Topographie
Niere
Topographie Gruppe
Niere, Harnwege
Beschreibung
Sklerosiertes Stroma mit grobscholligen dystrophen Verkalkungen und Blutungsresiduen in Form von hämosiderinbeladenen Makrophagen (braune Zellen in der rechten Bildhälfte).
Zusatzbefund
8cm grosser Tumor im Nierenoberpol. Bunte Schnittfläche mit multiplen gelben Knoten, ödematösem Stroma und Einblutungen, sowie fokaler Zystenbildung. Der Tumor infiltriert das Nierenbecken. Die Vena renalis ist tumorfrei.
Klinik
Wiederholte schmerzhafte Makrohämaturie. Im Urin werden Karzinomzellen nachgewiesen. Sonographisch und im Abdomen CT kommt ein Tumor im rechten Nierenoberpol zur Darstellung. Der Patient wird nephrektomiert.
Bilder Typ
Histologie
Vergrösserung
50
Alter
57
Geschlecht
männlich
Datum
Ersteintrag: 11.06.2002