PathoPic – image database / PathoPic ID 4887 - hellzelliges Nierenzellkarzinom

de
Diagnose
hellzelliges Nierenzellkarzinom
Diagnose Gruppe
maligner Tumor
Topographie
Niere
Topographie Gruppe
Niere, Harnwege
Beschreibung
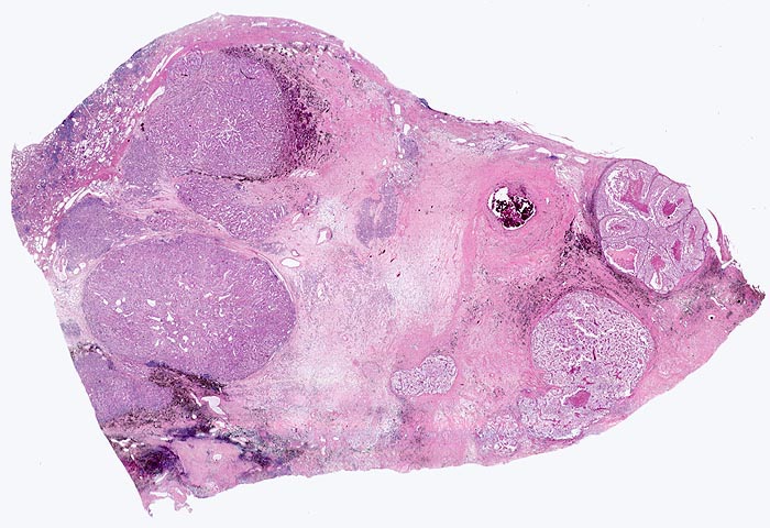
Heterogener Tumor bestehend aus mehreren überwiegend soliden Knoten. Ein Teil der Knoten zeigt zentrale Nekrosen. Zwischen den einzelnen Knoten reichlich Stroma mit Einblutungen. Der Tumor wächst expansiv und komprimiert das angrenzende Nierenparenchym.
Zusatzbefund
8cm grosser Tumor im Nierenoberpol. Bunte Schnittfläche mit multiplen gelben Knoten, ödematösem Stroma und Einblutungen, sowie fokaler Zystenbildung. Der Tumor infiltriert das Nierenbecken. Die Vena renalis ist tumorfrei.
Klinik
Wiederholte schmerzhafte Makrohämaturie. Im Urin werden Karzinomzellen nachgewiesen. Sonographisch und im Abdomen CT kommt ein Tumor im rechten Nierenoberpol zur Darstellung. Der Patient wird nephrektomiert.
Bilder Typ
Histologie
Vergrösserung
Scan
Alter
57
Geschlecht
unbekannt
Datum
Ersteintrag: 11.06.2002