PathoPic – image database / PathoPic ID 4875 - Urothelkarzinom: Gefässinvasion

de
Diagnose
Urothelkarzinom: Gefässinvasion
Diagnose Gruppe
maligner Tumor
Topographie
Harnblase
Topographie Gruppe
Niere, Harnwege
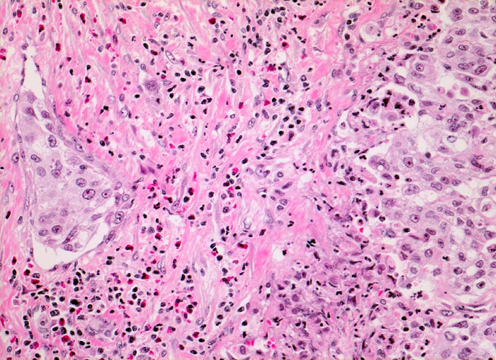
Beschreibung
Ein Gefäss erkennbar an der Endothelauskleidung enthält einen Tumorzapfen. Gemischtes Entzündungsinfiltrat im Stroma mit Beteiligung zahlreicher eosinophiler Granulozyten mit rotem Zytoplasma. Solides Tumorgewebe.
Klinik
Makrohämaturie. In der Harnblasenspülflüssigkeit werden Urothelien mit schweren Kernatypien vereinbar mit Urothelkarzinom nachgewiesen. Zystoskopisch kommt in der Hinterwand ein ulzerierter Tumor zur Darstellung. Die bioptische Abklärung ergibt Anteile eines wenig differenzierten Urothelkarzinoms mit ausgedehnten Nekrosen.
Kommentar
Histologisch lässt sich nicht entscheiden, ob es sich um ein Lymphgefäss oder um ein dünnwandiges Blutgefäss handelt.
Eosinophile Granulozyten finden sich oft bei unspezifischen entzündlichen Prozessen in der Harnblase.
Bilder Typ
Histologie
Vergrösserung
200
Alter
81
Geschlecht
männlich
Datum
Ersteintrag: 11.06.2002
Update: 16.04.2009