PathoPic – image database / PathoPic ID 4871 - myoglanduläre Prostatahyperplasie

de
Diagnose
myoglanduläre Prostatahyperplasie
Diagnose Gruppe
Hyperplasie / Hypertrophie
Topographie
Prostata
Topographie Gruppe
Genitalorgane, männlich
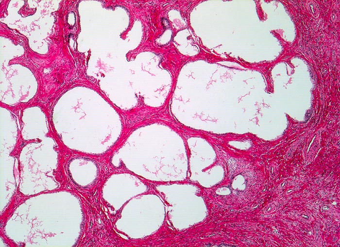
Beschreibung
Knotig angeordnete tubuloalveoläre Drüsen umgeben von vermehrtem fibromuskulärem Stroma.
Zusatzbefund
Autoptischer Befund: Prostata deutlich vergrössert (7cm Durchmesser) und knotig. Die weissen Knoten zeigen eine feinzystische Schnittfläche (makroskopisch erkennbare dilatierte Drüsenlumina). Einzelne Zystchen enthalten schwarze Steinchen (verkalktes Sekret). Balkenharnblase.
Klinik
Seit mehreren Jahren zunehmende Miktionsbeschwerden mit wiederholtem Harnverhalt.
Bilder Typ
Histologie
Vergrösserung
25
Alter
81
Geschlecht
männlich
Datum
Ersteintrag: 11.06.2002
Update: 30.07.2010