PathoPic – image database / PathoPic ID 4865 - akuter Niereninfarkt

de
Diagnose
akuter Niereninfarkt
Diagnose Gruppe
vaskulär / Durchblutungsstörung
Topographie
Niere
Topographie Gruppe
Niere, Harnwege
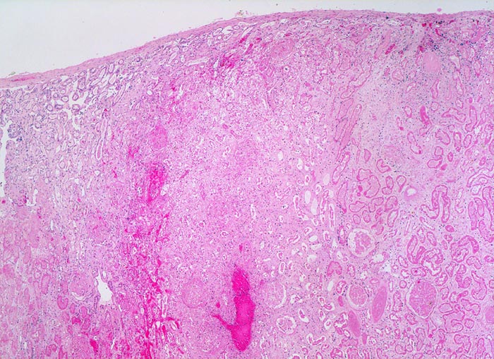
Beschreibung
Im Infarktareal sind Tubuli und Glomerula noch schattenhaft erkennbar. Hämorrhagischer Randsaum zwischen Nekrose und vitalem Parenchym. Ein sehr schmaler Saum von vitalem Parenchym ist an der Rindenoberfläche dank Kollateralen aus der Nierenkapsel erhalten.
Klinik
Chronisches Vorhofflimmern mit Morbus embolicus: anämische Infarkte verschiedenen Alters in beiden Nieren und in der Milz. Alte abgebaute Enzephalomalazie im Versorgungsbereich der Arteria cerebri media rechts.
Bilder Typ
Histologie
Vergrösserung
25
Alter
81
Geschlecht
männlich
Datum
Ersteintrag: 11.06.2002