PathoPic – image database / PathoPic ID 4852 - medulläres Schilddrüsenkarzinom

de
Diagnose
medulläres Schilddrüsenkarzinom
Diagnose Gruppe
maligner Tumor
Topographie
Schilddrüse
Topographie Gruppe
Endokrinium
Beschreibung
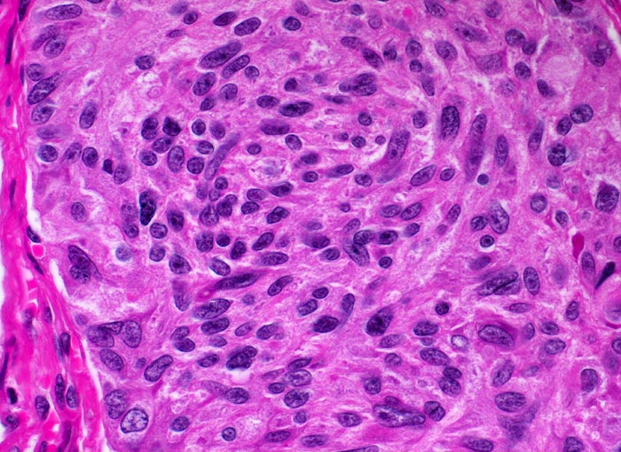
Solider Tumor mit teils spindeligen, teils polygonalen Zellen. Zytoplasma ist reichlich vorhanden. Die Zellgrenzen sind unscharf. Die Zellkerne sind polymorph und zeigen das typische feinkörnige Chromatin endokriner Zellen.
Zusatzbefund
Mehrere scharf begrenzte weisse Knoten in beiden Schilddrüsenlappen von bis zu 8mm Durchmesser.
Klinik
Beim Vater der Patientin wurde ein bilaterales Phäochromozytom diagnostiziert und in der Folge eine multiple endokrine Neoplasie vom Typ 2A. Im Familienscreening wurde bei der Patientin eine Mutation im Ret-Protoonkogen nachgewiesen und eine prophylaktische Thyreoidektomie durchgeführt.
Kommentar
Das C-Zellkarzinom der Schilddrüse kann sehr viele morphologische Formen annehmen (klassische Tumoren sind spindelzellig oder polygonal-rundzellig. Varianten: glandulär, papillär, kleinzellig, riesenzellig, oxyphil, hellzellig, undifferenziert, plattenepithelial differenziert). Jeder morphologisch ungewöhnlich aussehende Schilddrüsentumor sollte immunhistochemisch untersucht werden mit Antikörpern gegen Calcitonin, CEA und Thyreoglobulin.
Bilder Typ
Histologie
Vergrösserung
400
Alter
21
Geschlecht
unbekannt
Datum
Ersteintrag: 11.06.2002