PathoPic – image database / PathoPic ID 4825 - Aspergilluspneumonie

de
Diagnose
Aspergilluspneumonie
Diagnose Gruppe
Entzündung infektiös
Topographie
Lunge
Topographie Gruppe
Lunge, Mediastinum mit Thymus
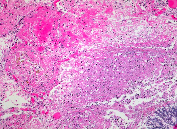
Beschreibung
Randbereich eines Infiltratherdes. Angrenzend an die Pilzkolonie folgt ein Saum von zerfallenden neutrophilen Granulozyten und weiter aussen vitales Lungenparenchym mit hyperämischen Kapillaren und intraalveolären fädigen Fibrinexsudaten mit Einschluss von hämosiderinbeladenen Makrophagen.
Klinik
Seit 14 Monaten bekannte chronische lymphatische Leukämie behandelt mit Chemotherapie. Der Patient entwickelt unter Therapie eine Pneumonie und verstirbt an einer Pilzsepsis.
Bilder Typ
Histologie
Vergrösserung
100
Alter
69
Geschlecht
männlich
Datum
Ersteintrag: 05.05.2002