PathoPic – image database / PathoPic ID 4822 - Aspergilluspneumonie

de
Diagnose
Aspergilluspneumonie
Diagnose Gruppe
Entzündung infektiös
Topographie
Lunge
Topographie Gruppe
Lunge, Mediastinum mit Thymus
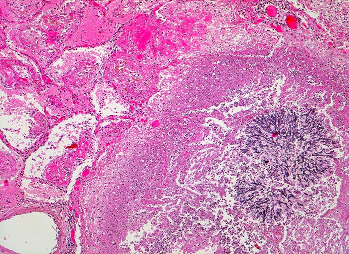
Beschreibung
Herd mit zentraler Einschmelzung (nekrotischer Detritus und zerfallende Granulozyten). Im Zentrum der Nekrose verzweigtes Aspergillusmycel. Die Kapillaren der angrenzenden Alveolen sind hyperämisch. In den Alveolarlichtungen sind Fibrinexsudate nachweisbar.
Klinik
Seit 14 Monaten bekannte chronische lymphatische Leukämie behandelt mit Chemotherapie. Der Patient entwickelt unter Therapie eine Pneumonie und verstirbt an einer Pilzsepsis.
Kommentar
Es handelt sich im vorliegenden Fall um eine akute fibrinöse Entzündungsreaktion. Chronische Aspergilluspneumonien kommen ebenfalls vor.
Bilder Typ
Histologie
Vergrösserung
50
Alter
69
Geschlecht
männlich
Datum
Ersteintrag: 05.05.2002