PathoPic – image database / PathoPic ID 4815 - Prostatakarzinom: Knochenmetastase

de
Diagnose
Prostatakarzinom: Knochenmetastase
Diagnose Gruppe
maligner Tumor
Topographie
Knochen, Wirbelsäule
Topographie Gruppe
Knochen, Knorpel, Gelenke
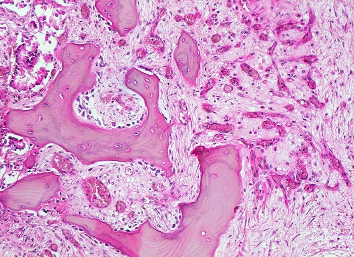
Beschreibung
Links im Bild einzelne Karzinomdrüsen. Die erhaltenen Knochenbälkchen zeigen einen gesteigerten Umbau: sie sind herdförmig von einer Osteoblastentapete bedeckt im Sinne eines gesteigerten Anbaus. An einer Stelle ist ein Osteoklast in einer Resorptionslakune sichtbar. Die Markräume rechts im Bild sind mit gefässreichem Granulationsgewebe ausgefüllt.
Zusatzbefund
Bei Autopsie finden sich zahlreiche, teils osteoplastische, teils osteolytische Metastasen im Bereich der Wirbelsäule. Die Karzinomdrüsen sind immunhistochemisch positiv für Prostata spezifisches Antigen.
Klinik
Bekanntes metastasierendes Prostatakarzinom. St.n. bilateraler Orchiektomie. Diffuse Schmerzen im Bereich der Wirbelsäule. Der Patient verstirbt an einem Myokardinfarkt.
Bilder Typ
Histologie
Vergrösserung
400
Alter
88
Geschlecht
männlich
Datum
Ersteintrag: 08.05.2002