PathoPic – image database / PathoPic ID 4813 - Prostatakarzinom: Knochenmetastase

de
Diagnose
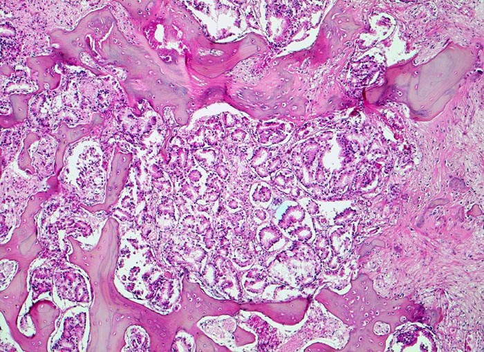
Prostatakarzinom: Knochenmetastase
Diagnose Gruppe
maligner Tumor
Topographie
Knochen, Wirbelsäule
Topographie Gruppe
Knochen, Knorpel, Gelenke
Beschreibung
Im Zentrum die kleinen dicht liegenden Karzinomdrüsen. Der Knochen wird stellenweise abgebaut. Fokal ist eine Faserknochenneubildung erkennbar.
Zusatzbefund
Bei Autopsie finden sich zahlreiche, teils osteoplastische, teils osteolytische Metastasen im Bereich der Wirbelsäule. Die Karzinomdrüsen sind immunhistochemisch positiv für Prostata spezifisches Antigen.
Klinik
Bekanntes metastasierendes Prostatakarzinom. St.n. bilateraler Orchiektomie. Diffuse Schmerzen im Bereich der Wirbelsäule. Der Patient verstirbt an einem Myokardinfarkt.
Bilder Typ
Histologie
Vergrösserung
50
Alter
88
Geschlecht
männlich
Datum
Ersteintrag: 03.07.2002