PathoPic – image database / PathoPic ID 4812 - Prostatakarzinom: Knochenmetastase

de
Diagnose
Prostatakarzinom: Knochenmetastase
Diagnose Gruppe
maligner Tumor
Topographie
Knochen, Wirbelsäule
Topographie Gruppe
Knochen, Knorpel, Gelenke
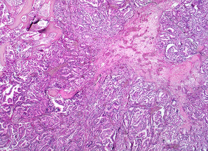
Beschreibung
Grösseres Infiltrat eines Adenokarzinoms mit dos à dos liegenden Drüsenschläuchen. Areal mit Granulationsgewebe und kleinen Knochenresten.
Zusatzbefund
Bei Autopsie finden sich zahlreiche, teils osteoplastische, teils osteolytische Metastasen im Bereich der Wirbelsäule. Die Karzinomdrüsen sind immunhistochemisch positiv für Prostata spezifisches Antigen.
Klinik
Bekanntes metastasierendes Prostatakarzinom. St.n. bilateraler Orchiektomie. Diffuse Schmerzen im Bereich der Wirbelsäule. Der Patient verstirbt an einem Myokardinfarkt.
Bilder Typ
Histologie
Vergrösserung
25
Alter
88
Geschlecht
männlich
Datum
Ersteintrag: 03.07.2002