Pathopic
HiPaKu
ZyPaKu
PathoBasic
PathoBasic Cytology
Quizzes
Projektinfos
PathoPic - Projekt- und Copyright-Info
About
Pathopic
HiPaKu
ZyPaKu
PathoBasic
PathoBasic Cytology
Quizzes
PathoPic – image database
/
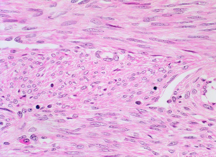
PathoPic ID 4810 - normales Myometrium
de
Diagnose
normales Myometrium
Diagnose Gruppe
Normalbefund
Topographie
Myometrium
Topographie Gruppe
Genitalorgane, weiblich
Beschreibung
Bündel von teils längs, teils quer getroffenen glatten Muskelfasern. Die quer getroffenen Kerne sind
rundlich, die längs getroffenen Kerne
zigarrenförmig mit abgestumpften Enden.
Mastzelle mit granuliertem Zytoplasma.
Klinik
Hysterektomie wegen Meno/Methrorrhagien
Bilder Typ
Histologie
Vergrösserung
400
Alter
48
Geschlecht
unbekannt
Datum
Ersteintrag: 08.05.2002
Update: 10.08.2010
CPS
·
©
2024 Institut für Pathologie Basel
/
Dr. med. Katharina Glatz-Krieger
.
·
v2.1