PathoPic – image database / PathoPic ID 4799 - fibrös zystische Mastopathie mit Mikroverkalkungen

de
Diagnose
fibrös zystische Mastopathie mit Mikroverkalkungen
Diagnose Gruppe
organspezifische Erkrankung
Topographie
Mamma
Topographie Gruppe
Mamma
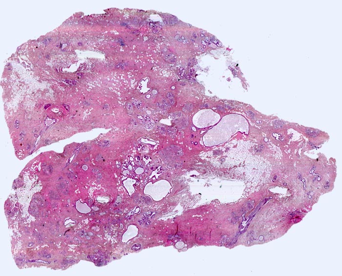
Beschreibung
Ausgedehnte Fibroseareale schliessen kleine Inseln von Fettgewebe ein. Zahlreiche Gänge sind unterschiedlich stark dilatiert. Zusammen ergibt sich die Diagnose einer fibrös zystischen Mastopathie.
Klinik
Probeexzision wegen umschriebenen Mikroverkalkungen in der Screeningmammographie. Bei der Palpation lassen sich mehrere unscharf begrenzte derbe Knoten tasten.
Bilder Typ
Histologie
Vergrösserung
Scan
Alter
61
Geschlecht
unbekannt
Datum
Ersteintrag: 06.10.2002