PathoPic – image database / PathoPic ID 4797 - intraduktale Epithelproliferation ohne Atypie und Mikrokalk

de
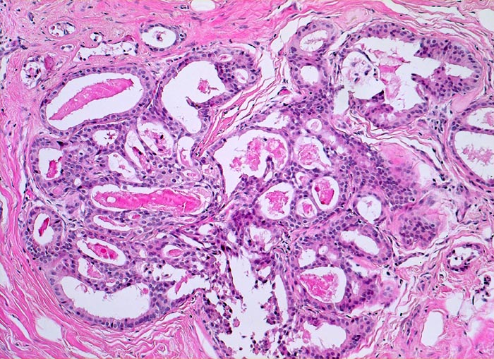
Diagnose
intraduktale Epithelproliferation ohne Atypie und Mikrokalk
Diagnose Gruppe
organspezifische Erkrankung
Topographie
Mamma
Topographie Gruppe
Mamma
Beschreibung
Zellproliferation und Ausbildung unregelmässig geformter Hohlräume. Die Hohlräume sind mit eingedicktem Sekret gefüllt.
Klinik
Probeexzision wegen umschriebenen Mikroverkalkungen in der Screeningmammographie. Bei der Palpation lassen sich mehrere unscharf begrenzte derbe Knoten tasten.
Bilder Typ
Histologie
Vergrösserung
100
Alter
61
Geschlecht
unbekannt
Datum
Ersteintrag: 08.05.2002