PathoPic – image database / PathoPic ID 4796 - fibrös zystische Mastopathie mit Mikroverkalkungen

de
Diagnose
fibrös zystische Mastopathie mit Mikroverkalkungen
Diagnose Gruppe
organspezifische Erkrankung
Topographie
Mamma
Topographie Gruppe
Mamma
Beschreibung
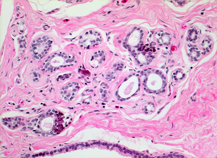
Fibrosiertes Läppchen mit Mikroverkalkungen.
Klinik
Probeexzision wegen umschriebenen Mikroverkalkungen in der Screeningmammographie. Bei der Palpation lassen sich mehrere unscharf begrenzte derbe Knoten tasten.
Kommentar
Wenn auf der Mammographie bzw. auf dem Röntgenbild des Probeexzisates Mikroverkalkungen sichtbar sind, muss histologisch Mikrokalk nachgewiesen werden. Dies, um sicher zu gehen, dass die verdächtige Läsion histologisch erfasst wurde. Andernfalls müssen Stufenschnitte oder zusätzliches Gewebe untersucht werden, bis die Mikroverkalkungen histologisch nachgewiesen werden können.
Bilder Typ
Histologie
Vergrösserung
200
Alter
61
Geschlecht
unbekannt
Datum
Ersteintrag: 06.10.2002