PathoPic – image database / PathoPic ID 4795 - fibrös zystische Mastopathie mit intraduktalen Mikroverkalkungen

de
Diagnose
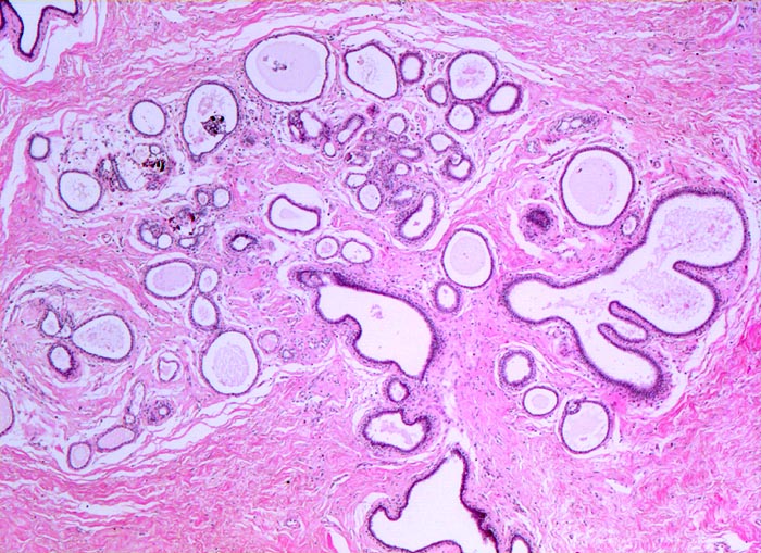
fibrös zystische Mastopathie mit intraduktalen Mikroverkalkungen
Diagnose Gruppe
organspezifische Erkrankung
Topographie
Mamma
Topographie Gruppe
Mamma
Beschreibung
Mammagewebe mit fibrosiertem interlobulärem Stroma. Stroma der Drüsenläppchen ebenfalls fibrosiert (verdichtetes Kollagen). Die Ausführgänge sind teilweise erweitert und enthalten teilweise Mikrokalk.
Klinik
Probeexzision wegen umschriebenen Mikroverkalkungen in der Screeningmammographie. Bei der Palpation lassen sich mehrere unscharf begrenzte derbe Knoten tasten.
Bilder Typ
Histologie
Vergrösserung
320
Alter
61
Geschlecht
unbekannt
Datum
Ersteintrag: 06.10.2002