PathoPic – image database / PathoPic ID 4791 - Osteosarkom

de
Diagnose
Osteosarkom
Diagnose Gruppe
maligner Tumor
Topographie
Knochen, Femur
Topographie Gruppe
Knochen, Knorpel, Gelenke
Beschreibung
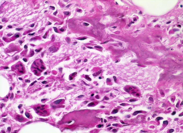
Atypische spindelige Tumorzellen mit hyperchromatischen Kernen bilden fein verzweigtes schmales verkalktes Osteoid. Tumorzellen liegen teils mitten im Osteoid gefangen. Neben den Tumorzellen mehrkernige reaktive osteoklastäre Riesenzellen.
Klinik
16 jähriger Jugendlicher mit seit mehreren Wochen bestehenden belastungsunabhängigen Schmerzen im distalen Femur rechts oberhalb des Knies (Metaphyse). Im Röntgenbild irreguläre Verdichtung, zum Teil auch Aufhellung der ursprünglichen Knochenstruktur mit Zerstörung der Corticalis und spiculaartige (=sonnenstrahlenähnliche) Periostreaktion. Im Serum erhöhte alkalische Phosphatase.
Bilder Typ
Histologie
Vergrösserung
400
Alter
16
Geschlecht
männlich
Datum
Ersteintrag: 08.05.2002