PathoPic – image database / PathoPic ID 4787 - aneurysmatische Knochenzyste (AKZ)

de
Diagnose
aneurysmatische Knochenzyste (AKZ)
Diagnose Gruppe
organspezifische Erkrankung
Topographie
Knochen, Fibula
Topographie Gruppe
Knochen, Knorpel, Gelenke
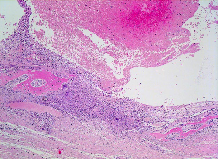
Beschreibung
In der Übersicht erkennt man einen pseudozystischen Hohlraum ohne Epithelauskleidung, welcher Erythrozyten enthält. Pseuozystenwand und $o{as16961Setpum} Septum enthalten Riesenzellen und mononukleäre Zellen. Daneben sieht man parallel zur Pseudozystenwand gelegen neugebildeten Faserknochen, welcher die Wand gleichsam "abstützt".
Klinik
Lokalisierte Schmerzen und Schwellung in der proximalen Fibula. Im Röntgenbild ist eine Osteolyse erkennbar, die die betroffene Fibula auftreibt. Die Cortikalis über der Osteolyse ist hauchdünn.
Bilder Typ
Histologie
Vergrösserung
50
Alter
16
Geschlecht
unbekannt
Datum
Ersteintrag: 06.10.2002
Update: 25.07.2008